◆休診日/日曜・祝日
◆TEL受付:9:00〜12:45、14:00〜17:45
◆JR志紀駅 徒歩約6分
◆無料駐車場5台完備
矯正歯科 ・ 小児矯正 ・ 予防矯正 ・ マウスピース矯正 ・ ワイヤー矯正 ・ 一般歯科 ・ 小児歯科
歯周内科治療 ・ 予防歯科 ・ 審美歯科 ・ インプラント ・ ホワイトニング ・ 入れ歯 ・ 義歯
〒581-0031 大阪府八尾市志紀町2-186 ティグリス枝川1F
〒581-0031 大阪府八尾市志紀町2-186 ティグリス枝川1F
◆TEL受付:9:00〜12:45、14:00〜17:45
◆休診日/日曜・祝日
◆JR志紀駅 徒歩約6分
◆無料駐車場5台完備
年齢を問わず、「歯が綺麗であること」はその人の印象を大きく変えます。
当院では、ただ「治す」だけでなく、
「綺麗になる」ことをゴールにした審美歯科を行っています。
補綴(セラミック治療)・矯正・インプラン・ホワイトニング・入れ歯・
ボトックス・ティースジュエリーなどの多彩なメニューで、
あなたの理想の笑顔づくりをサポートします。

“美しい歯”は、メイクやファッションと同じように、自分を輝かせる一部です。
「この医院に来たら綺麗になれる」そんな期待を感じていただけるよう、
当院では、見た目の美しさと健康的な噛み合わせの両立を目指し、
お一人おひとりに合わせた「審美歯科治療」をご提案しています。
年齢当院では、お一人おひとりの希望やお口の状態に合わせて、最適な方法を提案します。
「自由診療=特別」ではなく、「自分らしく綺麗になるための選択」として考えています。

3D口腔内スキャナー「iTero(アイテロ)」を使用し、
治療後の歯並びや笑顔のイメージを
シミュレーションできます。
実際の治療結果を保証するものではありませんが、
治療イメージを共有しながら計画を立てることができます。



当院では、年間300件以上のセラミック症例に、インビザラインプラチナドクター6年連続認定など、経験に培われた確かな技術により審美歯科を提供しています。
スタッフ全員が「美しい歯をデザインするプロフェッショナル」です。

インビザラインプラチナドクター(年間50症例以上)
6年連続認定


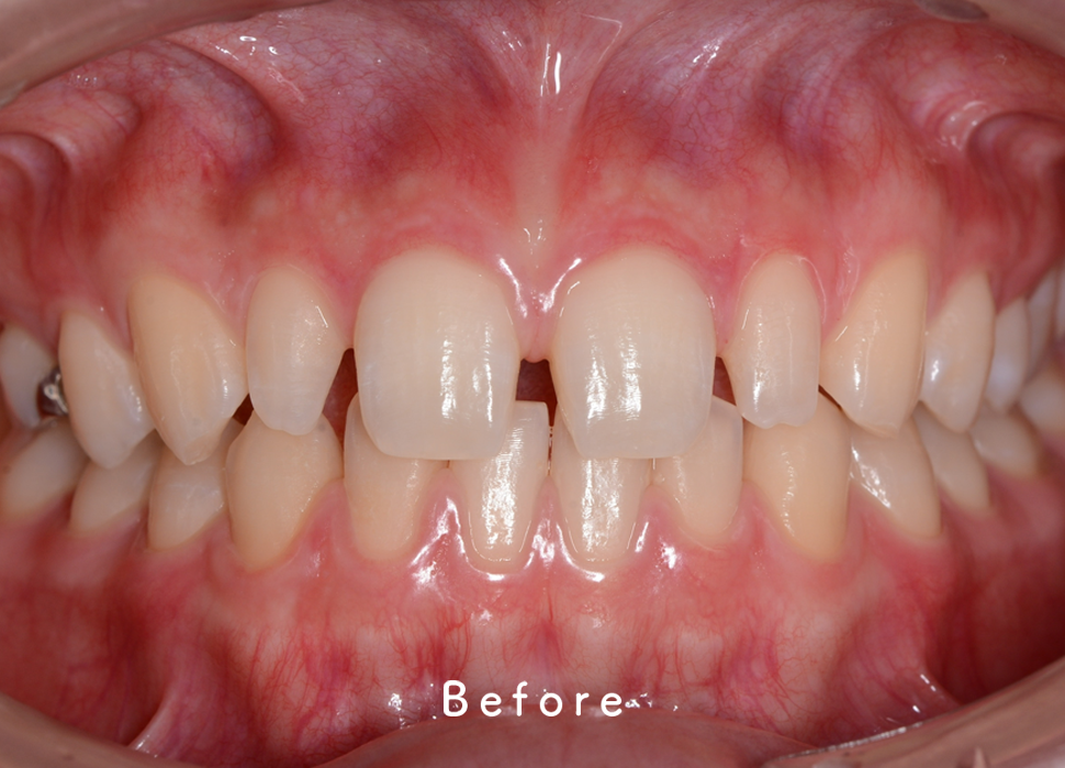
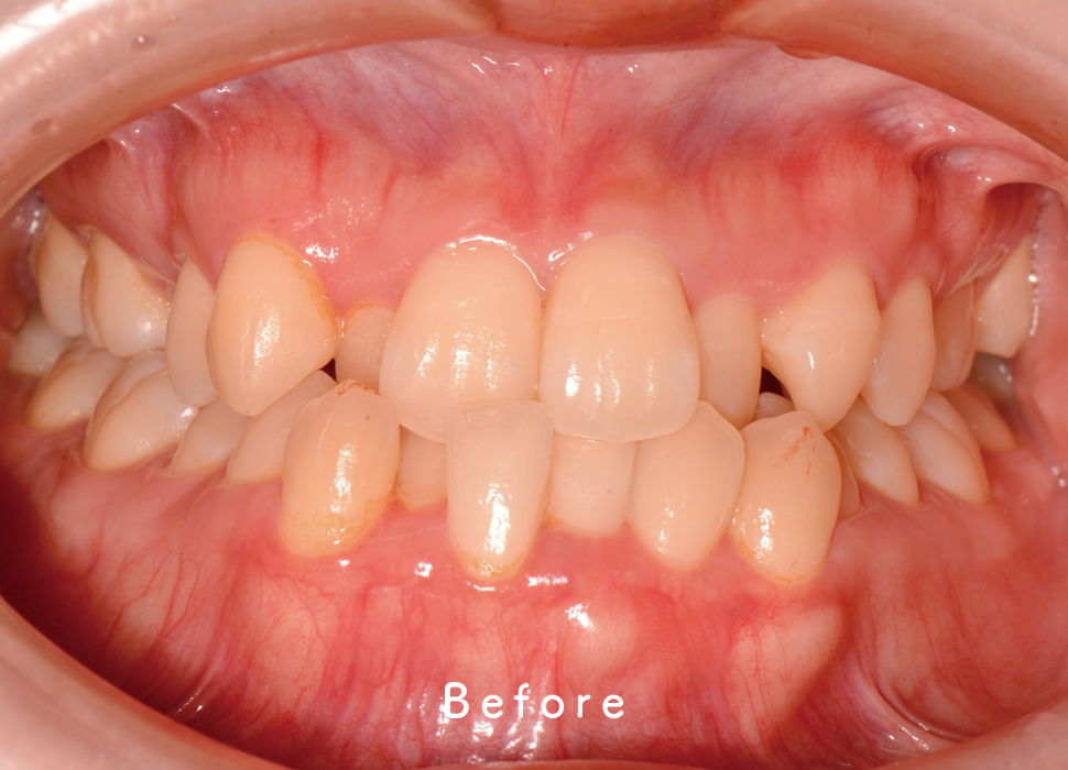
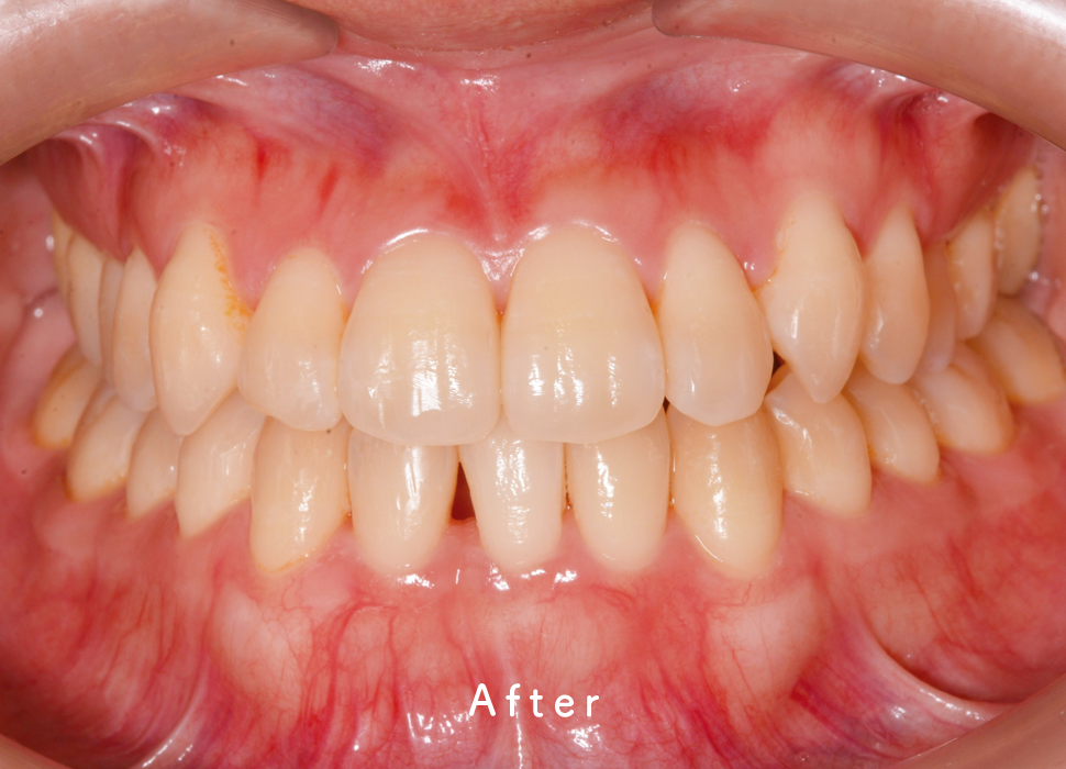
まず、過蓋咬合(かがいこうごう/ディープバイト)を改善するために矯正治療を開始、
その後、上顎の前歯に自費補綴(セラミックのかぶせ物)を装着し、前歯の形を整えた症例


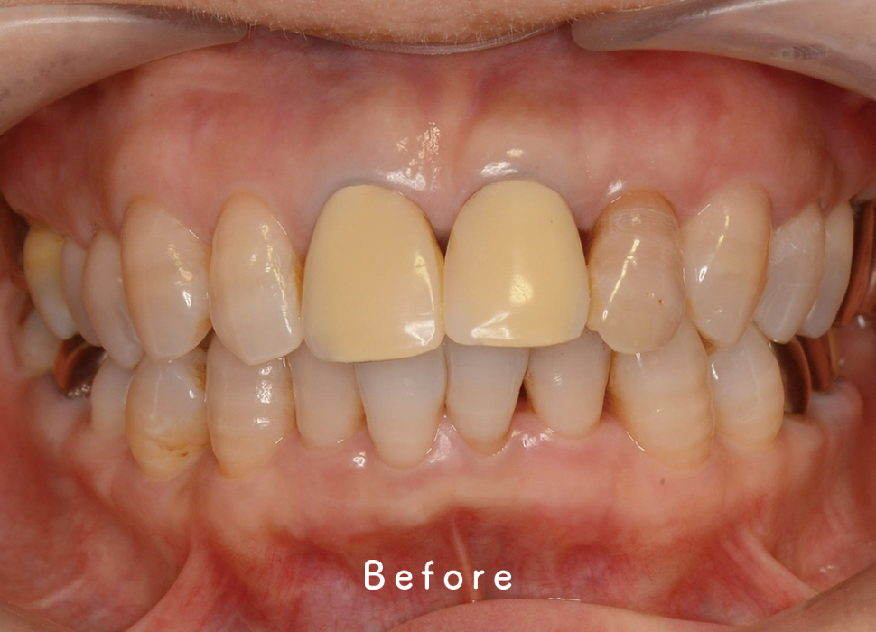
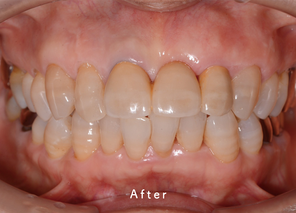
上顎前歯、セラミック治療で審美改善


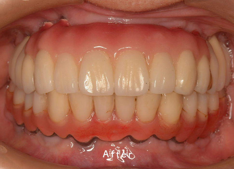
上顎前歯の欠損や歯列不正などを全顎的に改善するため自費の総入れ歯を装着した症例


上顎前歯の欠損や歯列不正などを全顎的に改善するため上下インプラントを装着した症例




前歯のすきっ歯を改善させるために自費補綴(セラミックのかぶせ物)を装着した症例


開咬(かいこう)「オープンバイト」とも言い、
奥歯で噛み合わせたときに前歯が開いた状態を改善しました。


叢生(そうせい)「乱杭歯(らんぐいば)」とも言い、
歯がデコボコに萌えている状態を改善しました。


奥に入り込んだ前歯を前に出し、全体の歯列を矯正しました。

「自分に合う治療が分からない」「費用や期間を知りたい」
そんな方には、まず無料または有料のカウンセリングをおすすめしています。口元や歯の悩みを丁寧にお伺いし、適した方法をご提案いたします。
| 治療内容 | 費用(税込) | |
|---|---|---|
ダイレクトボンディング![]() |
22,000円〜66,000円 (保証2年) |
|
セラミックインレー
|
66,000円 (保証2年) |
|
ゴールドインレー
|
77,000円〜99,000円 (保証3年) |
|
ラミネートベニア
|
110,000円 (保証5年) |
|
メタルボンド![]() |
99,000円〜132,000円 (保証3年) |
|
ジルコニアクラウン(無垢)![]() |
99,000円 (保証3年) |
|
e-max![]() |
99,000円 (保証3年) |
|
オールセラミッククラウン(フルベイク)![]() |
132,000円 (保証5年) |
|
| 補綴印象(1歯・歯型採り) | 11,000円 | |
| 治療内容 | 費用(税込) | |
|---|---|---|
EF Line MFT(口腔筋機能療法)![]() |
110,000円 | |
| 治療内容 | 費用(税込) | |
|---|---|---|
第1期矯正(床矯正・拡大装置)![]() |
275,000円 (予防矯正から開始) |
|
第1期矯正(床矯正・拡大装置)![]() |
385,000円 (第1期治療から開始) |
|
| 治療内容 | 費用(税込) | |
|---|---|---|
第2期矯正(ブラケット・ワイヤー矯正)![]() |
220,000円 (予防矯正から開始) |
|
第2期矯正(ブラケット・ワイヤー矯正)![]() |
330,000円 (第1期治療から開始) |
|
第2期矯正(ブラケット・ワイヤー矯正)![]() |
770,000円 (第2期治療から開始) |
|
| 治療に関わる料金 | 値段 | |
|---|---|---|
| 精密検査・診断・カウンセリング | 44,000円 | |
| 3Dシミュレーション | 44,000円 | |
| 口腔内スキャン料 | 2,200円 | |
| 追加アライナー | 5,500円 | |
| 保定装置(リテーナー) | 66,000円 | |
| インビザシステム料金(症例に合わせて選択) | 値段 | |
|---|---|---|
| エクスプレス (より軽度な叢生、空隙、後戻り、部分矯正など) (2週間×アライナー7枚分の14週間(約4ヶ月)) |
220,000円 | |
| ライト (軽度の不正歯列、後戻り、部分矯正など) (2週間×アライナー14枚分の28週間(約7ヶ月)) |
440,000円 | |
| モデレート(中度の不正歯列) (2週間×アライナー26枚分の14週間(約7ヶ月)) |
660,000円 | |
| コンプリヘンシブ (インビザラインで可能な不正歯列)(1年〜) |
880,000円 | |
※価格は税込みです。また、お値段は、患者様の口腔内の状態などで変動致します。
まずは、医院へご相談・カウンセリングをお受けください。
| 治療内容 | 費用(税込) | |
|---|---|---|
| 精密検査料 | 44,000円 | |
| CT診断料 | 22,000円 | |
| 診断用ワックスアップ | 1歯2,200円 | |
| 口腔内スキャン | 5,500円 | |
DIOインプラントガイド![]() |
インプラント1本の場合 55,000円 ※両顎の場合は+55,000円 ※インプラント1本追加につき11,000円追加 |
|
| 抜歯窩保護術 | 33,000円 | |
| 骨再生術(メンブレンなし) | 55,000円 | |
| 骨再生術(メンブレンあり) | 110,000円 | |
| 骨再生術(チタンメッシュあり) | 165,000円 | |
| 静脈内鎮静術 | 88,000円 | |
| ソケットリフト | 55,000円 | |
| 上顎洞挙上術 | 330,000円 | |
| 基本手術費(1次オペ) | 110,000円 | |
インプラント埋入術(DIO)![]() |
110,000円 (保証5年) |
|
| インプラント埋入術(GC) | 165,000円 (保証10年) |
|
| 基本手術費(2次オペ) | 55,000円 | |
| インプラント仮歯(1歯) | 33,000円 | |
| インプラント印象(1歯) | 11,000円 | |
| 上部補綴(DIO) | 132,000円 | |
| 上部補綴(GC) | 165,000円 | |
| 治療内容 | 費用(税込) | |
|---|---|---|
ホームホワイトニング![]() |
22,000円 追加ジェル(15%・20%) 1本3,850円 2本7,000円 追加ジェル(35%) 1本4,400円 2本8,000円 |
|
ポリリンホワイトニング
|
36,300円 ※3回目以降のホワイトニングのメンテナンスは12,100円となります。 |
|
| パーフェクトホワイトニング (ホームホワイトニングとポリリンホワイトニング) ※アフターケア用の歯磨き粉・トリートメント付き |
40,700円 ※3回目以降のホワイトニングのメンテナンスは12,100円となります。 |
|
| 治療内容 | 費用(税込) | |
|---|---|---|
ボトックス治療![]() |
33,000円 | |
| 治療内容 | 費用(税込) | |
|---|---|---|
ティースジュエリー![]() |
5,500円〜 | |